鸡球虫病的诊断治疗及防范方法,如何判断鸡球虫病及鸡球虫病的预防要点
鸡球虫病的诊断治疗及防范方法
如何判断鸡球虫病及预防鸡球虫病的要点[鸡球虫病判断]球虫感染可通过在死亡前用饱和盐水漂浮法或粪便涂片检测球虫卵囊,或在死亡后用肠粘膜接触或刮擦肠粘膜涂片检测裂殖体、裂殖体或配子体来诊断。然而,由于鸡携带球虫的现象极为普遍,球虫引起的发生和死亡应根据临床症状和流行程度来确定

如何判断鸡球虫病和鸡球虫病及预防要点?
鸡球虫病主要由艾美球虫科球虫引起,其中盲肠球虫(柔嫩艾美球虫)和小肠球虫(艾美球虫)较为常见。 可采用以下方法诊断鸡球虫病 1.鸡舍潮湿吗:球虫的卵囊会加速感染,并在潮湿的环境中传播到鸡群 特别是在连续的雨天,鸡球虫病是一种由艾美球虫寄生肠道上皮细胞引起的疾病。该病的特点是出血性肠炎,血源性鸡发病率和死亡率高。 有许多球虫寄生在鸡身上。最致命的球虫是柔嫩艾美耳球虫和恶性艾美耳球虫。前者导致急性盲肠球虫病,这在幼鸡中更常见。后者导致急性肠球虫病,因此建议咨询药物治疗。 在肉鸡饲养过程中,许多饲养者在某些特殊时刻经历过球虫病暴发,如免疫接种、羊群转移、饲料更换、冷热天气,尤其是冬季通风不良和夏季湿热天气,这些都导致大多数饲养者患球虫病。 1.症状这种疾病很典型。球虫病对鸡和鸡非常严重。15-50日龄鸡发病率高,死亡率可达80%以上 宽容的小鸡生长缓慢,发育迟缓。 成年鸡大多感染蠕虫,它们的增重和产蛋都会受到一定程度的影响。 (1)流行病学:球虫的宿主是特异性的,即攻击鸡的球虫不会攻击火鸡和其他家禽。它是球虫病,用氯胍或球虫清除剂治疗。 最好交替使用,否则昆虫会产生抗药性。
如何判断鸡球虫病及鸡球虫病的预防要点
如何判断鸡球虫病及预防鸡球虫病的要点[鸡球虫病判断]球虫感染可通过在死亡前用饱和盐水漂浮法或粪便涂片检测球虫卵囊,或在死亡后用肠粘膜接触或刮擦肠粘膜涂片检测裂殖体、裂殖体或配子体来诊断。然而,由于鸡携带球虫的现象极为普遍,球虫引起的发生和死亡应根据临床症状和流行程度来确定

如何判断鸡球虫病和鸡球虫病及预防要点?
鸡球虫病的诊断治疗及防范方法范文

鸡球虫病是一种传染性寄生虫病,是鸡的主要杀手之一。鸡球虫病主要由五种危害较大的球虫引起。它们是柔嫩艾美耳球虫、堆状艾美耳球虫、大头艾美耳球虫、恶性艾美耳球虫、短艾美耳球虫等。鸡球虫病分布广泛,发病率高。一旦染上这种疾病,死亡率高达80%,将给农牧民造成巨大损失。
1。鸡球虫病的危害
鸡球虫病是一种急性流行性寄生虫病,发病率和死亡率高达80%。鸡感染球虫病后,寄生在鸡肠道上皮组织中的球虫吸收肠粘膜上的营养分子,促进其生长繁殖,从而造成肠道损伤和肠上皮组织的破坏,削弱消化系统,影响鸡对营养物质的吸收,降低鸡对你的抵抗力,进而增加其他疾病的感染率,导致鸡的死亡率上升,治愈率下降。即使疾病痊愈,鸡的生长也会受到抑制,增重会非常缓慢,鸡球虫病也容易反复感染,产蛋能力会降低,给农牧民造成极其严重的经济损失。
2。鸡球虫病的诊断和治疗
2.1、鸡球虫病流行情况
2.1.1鸡球虫病的年龄与疫情有关。
鸡是各种球虫的天然宿主之一,鸡球虫病的流行情况也有一定的规律。根据鸡的年龄,2周龄以下的鸡不易感染球虫病。鸡球虫病通常发生在3-6周龄的鸡和成年鸡身上。由于鸡抵抗力较弱,它们容易摄入孢子化卵囊,从而导致鸡球虫病。此外,孢子化卵囊的外壳非常坚硬,对外部环境条件和消毒用品有很强的抵抗力。
2.1.2鸡球虫病与气候条件有关
鸡球虫病的大规模爆发与温度和降雨量密切相关,通常在温暖季节流行。每年的四月和五月是养鸡场主的繁殖季节。此时,气候大多是梅雨季节,雨量较多,气候较湿润,气候较温暖。鸡和3-6周龄的成年鸡抵抗力大大减弱,并有传染性球虫病,由于潮湿黑暗、卫生条件差、环境条件差、营养不良等原因,导致鸡群大规模感染。
2.2 .临床症状
(1)从鸡的外貌观察:感染鸡球虫病的鸡易出现无精打采、无精打采、食欲不振、食欲不振、羽毛松散、翅膀下垂、消瘦、肌肉苍白、毛发频繁萎缩。此外,鸡的鸡冠变得苍白,腿和喙褪色成白色或浅黄色,排尿频繁,排泄的粪便有浅红色血液,粪便含水量高,肛门周围的毛发被大量脏粪便污染。
(2)从解剖的内脏开始,肝脏和肠道变得非常大,肠淋巴结增大,盲肠变绿,小肠变暗红色,肠壁增厚,肠充血,含有大量血凝块和血液,胆管组织被破坏,胆汁粘稠,肝脏含有大量孢子化卵囊、裂体和裂体。
2.3 .诊断和治疗
2.3.1。病原体检查
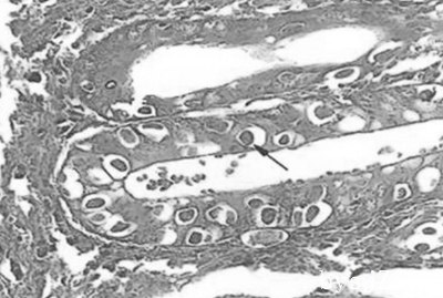
解剖感染鸡球虫病的死鸡后,可以发现盲肠变大,呈绿色,小肠充满血液,呈深红色。取肿胀的盲肠,切成段。在400倍显微镜的观察下,可以发现盲肠壁上的粘性物质上分布着大量的圆形分裂体和椭圆形分裂体(如下图所示),并且可以观察到孢子化卵囊的卵囊壁非常坚硬。或者用饱和盐水法,将1g感染鸡球虫病的鸡粪放入饱和盐水中,发现鸡球虫病卵囊漂浮在盐水表面。

2.3.2。诊断
根据鸡球虫病的流行规律,观察鸡的临床症状和感染鸡的病原检查,可以对鸡球虫病做出明确的诊断。
3。预防措施
3.1、药物治疗
急性鸡球虫病发生时,可采用药物治疗方法,选择妥曲珠利、10%盐霉素钠、青霉素钾等抗鸡球虫病效果较高的药物或萘醌酯为主要成分的喹喔啉类药物,可有效降低鸡球虫病的存活率,达到杀灭球虫病的效果。但是,由于艾美球虫的快速分裂,为了抑制球虫卵的活化,可以饲喂鸦胆子等中药,可以有效抑制球虫卵的活性,降低分裂速度,从而降低球虫复发的概率,提高鸡的存活率,减少养鸡户的经济损失。由于鸡球虫病的发生时间无法准确预测,40天前免疫的鸡应该接种鸡球虫病疫苗,这是鸡的抵抗力。鸡球虫病暴发时,治疗时间不应晚于感染后4天,此时鸡群出现症状,消化系统和肝组织受损。否则,药物治疗往往不起很大作用,因此不能降低鸡的死亡率和感染率。
3.2 .加强鸡群生活和生长环境的管理
在鸡粪分布广泛的环境中,鸡粪极易污染鸡的食物和饮用水,还会污染其他动植物、土壤、器具和管理人员,为鸡球虫病的传播提供了便捷的渠道。因此,加强鸡舍内外环境的管理是非常必要的。首先,鸡舍应定期消毒,彻底清洁,以净化环境。鸡和蛋鸡应分开饲养。感染鸡和未感染鸡分开饲养,以降低球虫病感染率,保证饲养密度在合理范围内。其次,注意鸡舍的通风和干燥,为鸡的生长和生存创造良好的饲养环境,定期清理鸡粪,妥善处理死鸡,禁止随地掩埋。最后,俗话说,“食物补充比药物补充好”,这句话也适用于鸡。给鸡提供营养饲料有利于改善鸡的健康,提高对鸡球虫病的免疫力,降低鸡的死亡率。
3.3、加强对鸡的监管
通过安装摄像机等监控设备,及时观察和采集鸡的健康状况,对感染鸡球虫病的鸡进行急救,以降低鸡的死亡率。加强鸡舍监管。一方面,可对感染球虫病的鸡进行分离和监测,以获得最新的观察结果,并可制定最新和最合适的治疗方案,以降低鸡群的死亡率。另一方面,偷窃是可以防止的。作为证据,可以提高警方调查的速度,及时追回损失,减少农民的经济损失。
[/s2/]4,[概要/s2/]
鸡球虫病的危害非常大,给农民带来的损失也是惊人的。做好鸡球虫病的预防工作非常重要。因此,有必要结合鸡球虫病的流行规律,观察鸡群感染症状,了解鸡球虫病的原因,做出正确诊断,对症下药,及时教给农民防治技术,以便及时做好鸡球虫病的防治工作,减少经济损失。
参考
[1]彭桓温。鸡球虫病的诊断、治疗和预防[。中国动物卫生,2018,12 (12) :29-30。
[2]姚建生。鸡球虫病的诊断和治疗[。青海畜牧兽医杂志,1996,1 (18) :16-17。
[3]马兰。鸡球虫病的诊断和治疗[。中国畜牧兽医文摘,2015,5 (31) :42-43。



