肝血管瘤CT平扫与CT增强的影像对比,肝脏增强ct如何鉴别肝癌和肝血管瘤
肝血管瘤CT平扫与CT增强的影像对比
肝脏增强扫描如何鉴别肝癌和肝血管瘤肝癌的影像学特点是平扫描密度低,增强扫描“快进快出”。肝血管瘤的特点是平面扫描密度低,增强扫描造影剂“快进慢出”。造影剂从肿瘤外围逐渐填充肿瘤中心。

肝囊肿和肝血管瘤在平扫ct时显示的图像有什么不同
肝血管瘤是常见的肝脏良性肿瘤。海绵状血管瘤是临床上最常见的肿瘤。大多数患者没有明显的不适症状,通常在b超检查或腹部手术中发现。 肝血管瘤的磁共振特征:血管瘤的典型表现是大部分病变呈圆形和准圆形,边缘清晰锐利 T1WI上的大多数病灶显示均匀的低信号。T2WI上,病灶的信号强度一般均匀而高,并随着回声时间的延长而增加。这是肝血管瘤的典型磁共振表现。 钆喷酸葡胺增强扫描性能、增强扫描和超声造影对肝血管瘤的诊断有重要价值 造影剂可通过血管状况来判断是否为血管瘤。判断不好,请与主治医生沟通。 肝血管瘤在平片上通常密度较低,但由于肿瘤大小不同,增强扫描性能也不同。动脉期< 3厘米的小血管瘤,特别是1厘米左右的小血管瘤,有明显的增强作用,即整个肿瘤均一增强,密度接近大血管,密度高,门脉期延迟。
肝脏增强ct如何鉴别肝癌和肝血管瘤
肝脏增强扫描如何鉴别肝癌和肝血管瘤肝癌的影像学特点是平扫描密度低,增强扫描“快进快出”。肝血管瘤的特点是平面扫描密度低,增强扫描造影剂“快进慢出”。造影剂从肿瘤外围逐渐填充肿瘤中心。

肝囊肿和肝血管瘤在平扫ct时显示的图像有什么不同
肝血管瘤CT平扫与CT增强的影像对比范文
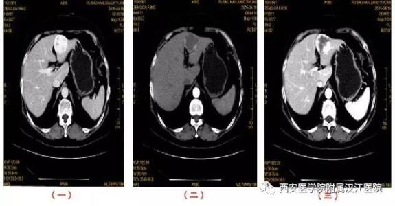
摘要:目的探讨肝血管瘤的平片和增强扫描的影像学表现。方法回顾性分析2016年3月至2018年3月经手术、穿刺病理或磁共振核素扫描确诊的42例肝血管瘤的平片和增强扫描图像。结果42例患者的CT大多显示肝脏单发、多发圆形或椭圆形低密度影。增强扫描后,38例表现为典型的肝血管瘤,即动脉期边缘结节状和环状增强特征,延迟期增强区向中心充盈增强。2例病变在动脉期强化,延迟期等密度。2例早期病灶中心明显强化。门静脉和延迟期逐渐充满周围,直至整个病变增强。30例肝脏局灶性结节性增生密度相等或低。动脉期快速、均匀、明显增强;8例原发性肝癌平面扫描显示低密度病灶,增强扫描显示“快进快出”特征。肝脏腺瘤4例,平片显示密度稍低,边界清晰。增强扫描显示动脉期明显增强,门脉期等密度。结论肝血管瘤的平片和增强扫描有很大区别,平片和增强扫描相结合更有利于肝血管瘤的发现。
关键词:肝血管瘤;CT诊断;密度;扫描;
肝血管瘤俗称肝海绵状血管瘤,是肝脏常见的良性肿瘤。它通常在健康检查中发现,可以发生在任何年龄组,大多数成年女性患者[1]。较大的肝血管瘤通常会引起腹痛、腹胀等。因为周围器官受压。最严重的并发症是肿瘤破裂。一旦肿瘤破裂,病人的存活率只有1%[2]。因此,早期正确诊断具有重要意义。本研究的目的是探讨肝血管瘤在平片和增强扫描上的影像学表现。
1,数据和方法
1.1,一般信息
选取我院2016年3月至2018年3月收治的42例肝血管瘤患者为研究对象,回顾性分析其ct平片和增强影像表现。其中男性16人,女性26人,年龄23-56岁,平均(40.03±3.15)岁。所有患者在体检或其他检查中均未发现明显的临床症状。所有患者均在我院接受了平片和多期增强扫描。这项研究得到了医院伦理委员会的批准,所有患者都签署了知情同意书。纳入标准:(1)体检或其他检查中发现,随后进行进一步的CT检查,无轻微不适或明显临床症状;(2)肝血管瘤经手术、穿刺病理或磁共振核素扫描证实;(3)无严重并发症,年龄20 ~ 70岁。排除标准:(1)合并严重感染;(2)严重肝肾功能障碍和心肺功能障碍患者;(三)无法指定监护人的;(4)哺乳和怀孕妇女;(5)恶性肿瘤患者。
1.2,方法
8排螺旋CT机采用通用电气光速超高(GE Light Speed Ultra)模型,层厚7.5毫米,间距7.5毫米,用于对患者进行连续扫描。平片扫描后,进行增强扫描,然后分析CT表现。在增强扫描过程中,用高压注射器以2.5-3.0毫升/秒的速度经静脉注射80-100毫升非离子造影剂碘海醇。在注射完成后25-30秒和55-60秒扫描动脉期和门静脉期,在2-5分钟[2]后进行延迟扫描,在诊断不清楚时进行长达30分钟的延迟扫描。记录和分析单个或多个病灶的影像学表现、大小、形状、位置、密度、生长方式和增强特征。

2,结果
2.1,电脑断层扫描性能
42例中,4例为多发,38例为单发,共发现51个病灶。肝左叶12例,肝右叶26例,全肝4例。12处病灶形状不规则;39个圆形;其中18个病灶大小为1.5 ~ 8.0厘米,大于3.0厘米,33个病灶≤3.0厘米。所有51个病灶均为圆形和椭圆形。平面扫描密度为低密度,均匀低密度45,不均匀低密度6(所有病灶> 4.0厘米)。
2.2。
增强扫描后,动脉期有明显的边缘增强特征,延迟期有充盈变化。早期病灶边缘强化38例,早期完全强化2例,均为局灶性结节增生30例,密度等或低,动脉期强化迅速、均匀、明显。原发性肝癌8例,平片扫描低密度病灶,增强扫描具有“快进快出”的特点。肝脏腺瘤4例,平片显示密度稍低,边界清晰。增强扫描显示动脉期明显增强,门脉期等密度。当充分延迟时,所有病例显示与肝实质的密度大致相等或稍高。
3。讨论
3.1。肝血管瘤的病理特征
肝血管瘤外观呈蓝色和紫红色,由多个不同大小的血液窦组成。血液窦含有内皮细胞,中间有纤维隔膜,断面呈囊性或筛状。因此,它也可以称为肝海绵状血管瘤[3]。血管瘤的瘤周组织通过管道与瘤体相通,其血流特征是从瘤周到窦内中心的血流缓慢。
3.2。肝血管瘤的计算机断层扫描
目前,超声诊断主要用于肝血管瘤的临床诊断,包括混合型、低回声型和高回声型[4]。高回声临床诊断具有较高的检出率和突出的诊断价值[5]。但是混合型和低回声型的诊断效果不够理想,影响了患者疾病的早期诊断和鉴别。为了进一步明确诊断,对肝脏进行多期增强扫描具有重要意义,可以准确诊断超声难以诊断的肝血管瘤。在肝血管瘤的CT检查中,大多数病变具有典型的明显的慢进慢出特征,[6]。在后期,造影剂逐渐填充到病变中,其密度与延迟扫描时肝实质的密度相似,这与肝血管瘤的病理特征相一致。
在应用计算机断层扫描技术诊断肝血管瘤时应注意以下问题:(1)遇到小病灶时,应尽可能进行薄层扫描[7],这有利于发现病灶的增强特征;(2)造影剂的注射速度较快,快速扫描和延迟扫描的结合要求造影剂的剂量保持在80-100ml;(3)对于相对较小的血管瘤,早期增强效果通常不明显,因此需要提高延迟扫描的重要性。(4)延迟扫描时间通常为5 ~ 15分钟,[8]最大延迟可为30分钟。在对肝血管瘤患者实施长时间延迟扫描时,有必要积极与患者沟通,向患者介绍长时间延迟扫描对较小肝血管瘤诊断的重要价值,获得患者的积极配合,进一步全面提高肝血管瘤的CT诊断检出率。
3.3。肝血管瘤的CT鉴别诊断
3.3.1,原发性肝癌
它主要区别于小肝癌。小肝癌和肝血管瘤的平面扫描密度都很低。在动脉期,小肝癌通常表现出均匀而明显的增强特征。肝实质期和门静脉期病灶密度低于正常肝脏,造影剂具有“快进快出”的特点。原发性肝癌不典型时,早期明显增强,但门静脉期造影剂退出不明显。此时,很难将其与某些表现不典型强化的血管瘤区分开来。延迟扫描非常重要。有时需要30分钟的长时间延迟。延迟扫描显示小肝癌的低密度结节病灶,而血管瘤显示等密度。此外,可以结合患者的病史进行鉴别诊断。肝癌大多基于长期肝病,如肝硬化或慢性乙型肝炎,而血管瘤通常没有这样的病史,也可以结合血清甲胎蛋白(AFP)含量进行鉴别。肝癌患者甲胎蛋白含量通常会增加,而血管瘤患者甲胎蛋白含量不会增加。
3.3.2,肝脏局灶性结节性增生
肝脏局灶性结节性增生一般无临床症状,通常在体检时偶然发现。平面扫描显示等密度或低密度。动脉期增强迅速、均匀、明显,门静脉期和延迟期增强逐渐减弱,[10]。在某些病例中发现了中央疤痕组织。动脉期和门静脉早期未增强,呈星形低密度,延迟期明显增强。这个标志很有特色。然而,血管瘤表现为从病变边缘到中心逐渐充盈增强。延迟期肝实质仍呈等密度变化,部分非典型血管瘤在动脉期整体呈均匀增强,延迟期肝实质也呈等密度变化。
3.3.3,肝脏腺瘤
大多数肝腺瘤患者是女性,这与长期口服避孕药有关。大多数病人没有明显的症状。平面扫描显示密度稍低的阴影,边界更清晰。增强扫描显示动脉期明显增强,门静脉期密度相等,延迟期密度稍低,不同于血管瘤延迟期密度相等,可以鉴别。
本研究结果表明,42例肝血管瘤的CT表现大多为肝脏单发、多发圆形或椭圆形低密度影。增强扫描后,90.5%的病例动脉期有明显的环形增强特征,延迟期有充盈变化。肝血管瘤大多具有特征性,经仔细分析后易于诊断。对于某些非典型血管瘤,长延迟扫描具有重要意义。它的延迟扫描与肝实质密度相等,或者大多数区域密度相等,这有助于将其与其他疾病区分开来。在实际的计算机断层扫描过程中,有必要尽可能多地进行薄层扫描。注射造影剂时,速度应尽可能快,快速扫描和延迟扫描相结合,造影剂的剂量应控制在80 ~ 100毫升。掌握肝血管瘤的特征体征,可以大大提高肝血管瘤的诊断准确率。
参考:
李红涛。螺旋CT三期增强扫描对肝血管瘤诊断意义的研究[。中国医学指南,2017,15 (36) :22-23。
高伟科、戴刘超。引用该论文[。腹部外科,2017,30 (6) :496-499。
韩政,刘爱莲,刘泽群,等。DWI不同指标模型在肝细胞癌和肝血管瘤鉴别诊断中的应用价值[。磁共振成像,2017,8 (7) :519-525。
唐艳琼,李吴佳,凌武文,等。肝脏血管平滑肌脂肪瘤的超声诊断及其与肝血管瘤的鉴别。[。生物医学工程与临床医学,2017,21 (4) :377-380。
王博涛,刘刚,范文平,等。纹理特征分析在磁共振成像鉴别肝囊肿和肝血管瘤中的价值[。中国医学科学院学报,2017,39 (2) :169-176。
宋轶,程梁静,郑泉,等。实时剪切波超声弹性成像对肝血管瘤和肝细胞癌的鉴别诊断价值[。郑州大学学报(医学版),2017,52 (2) :221-223。
何春华。超声多普勒成像在肝癌和肝血管瘤鉴别诊断中的价值[。医疗设备,2018,31 (2) :32-33。
张茜,陈文卫,夏洪波,等。动态血管模式在低回声肝血管瘤和原发性肝癌鉴别诊断中的价值。[。武汉大学学报(医学版),2016,37 (2) :277-281,287。
张茜、夏洪波、周未夕。上腹部螺旋CT多期扫描及超声造影对肝血管瘤的诊断价值分析[。临床和实验医学杂志,2015,14 (13) :1125-1128。
俞勤,冉龙符,周英华,等。肝血管瘤的CT诊断与鉴别诊断[。现代临床医学,2008,34 (6) :445-446。



