腹部闭合性损伤运用CT诊断的作用,闭合性脑损伤严重吗?
腹部闭合性损伤运用CT诊断的作用
闭合性脑损伤严重吗?闭合性脑损伤主要是由交通事故、跌倒、跌倒以及其他意外伤害和出生伤害引起的。战时,人们经常看到高压气浪爆炸伤害是由于防御工事的向后挤压或爆炸造成的,所有这些都是由暴力造成的直接或间接头部伤害造成的。分类:神经外科疾病描述:脑损伤根据损伤后的脑组织是否与外界相通而分为开放型和封闭型。前者主要包括

被人打了,拍的CT片上说考虑胰腺挫裂伤,医生诊断...
打架导致胰腺挫伤和撕裂以及盆腔积液,这些都是轻伤。 《人体损伤评估标准》中规定的腹部损伤标准为:5.7.3轻伤一级(A)胃、肠、胆囊或胆道不完全破裂 b)肝包膜破裂;肝实质血肿直径大于2.0厘米 c)脾囊破裂;脾实质血肿直径超过2.0厘米 d)胰腺胶囊,
闭合性脑损伤严重吗?
闭合性脑损伤严重吗?闭合性脑损伤主要是由交通事故、跌倒、跌倒以及其他意外伤害和出生伤害引起的。战时,人们经常看到高压气浪爆炸伤害是由于防御工事的向后挤压或爆炸造成的,所有这些都是由暴力造成的直接或间接头部伤害造成的。分类:神经外科疾病描述:脑损伤根据损伤后的脑组织是否与外界相通而分为开放型和封闭型。前者主要包括

被人打了,拍的CT片上说考虑胰腺挫裂伤,医生诊断...
腹部闭合性损伤运用CT诊断的作用范文

闭合性腹部损伤是临床上非常常见的急腹症。近年来,随着交通事故的频繁发生,这种疾病的发病率也大幅上升。尽快明确患者的器官损伤,积极治疗是提高患者生存率和减轻患者痛苦的关键[1]。本研究以我院2013年5月至2015年4月手术病理诊断为腹部闭合性损伤的60例患者为研究对象,探讨螺旋ct对腹部闭合性损伤的诊断价值。分析结果和研究结论报告如下。
1数据和方法
1.1一般资料选择2013年5月至2015年4月经手术病理证实的闭合性腹部损伤患者60例作为研究对象,其中男性34例,女性26例。患者年龄21 ~ 66岁,平均年龄(39.2±6.3)岁。41名患者因车祸受伤,11名因高空坠落受伤,6名因钝器伤受伤,2名因挤压伤受伤。所有患者均于伤后4 h内入院,并接受超声和电脑断层检查。
1.2方法对所有患者进行超声和CT检查。
1.2.1超声检查方法:用彩色多普勒超声诊断仪对患者腹腔、盆腔、肝、肾、胰腺、脾胃等器官进行多角度、多切面探查。扫描时,应密切注意患者各器官的位置和形状是否异常,组织间是否有不明液体,器官是否受损,回声区是否均匀等。
1.2.2CT检查法采用电脑断层扫描对患者腹部进行平面扫描,采用轴向定位。扫描范围从剑突到肾脏的下边缘,从上到下。将100毫升浓度为60%的泛影葡胺快速滴入患者静脉,对受损区域进行重点扫描,特别注意患者腹腔内血管病变,对可疑区域进行多角度薄层扫描,以降低漏诊概率。比较两种诊断方法的准确性。
1.3判断标准[2]准确性判断标准基于患者术中和术后病理检查结果。如果超声或电脑断层检查结果与术中和术后病理检查结果一致,则可判断为准确,如果比较结果不一致,则可判断为漏诊。
1.4统计方法采用SPSS15.0统计软件对研究数据进行统计分析。测量数据用平均标准偏差(x-s)表示,并使用t检验。计数数据用比率(%)表示,并用χ2检验。P2结果
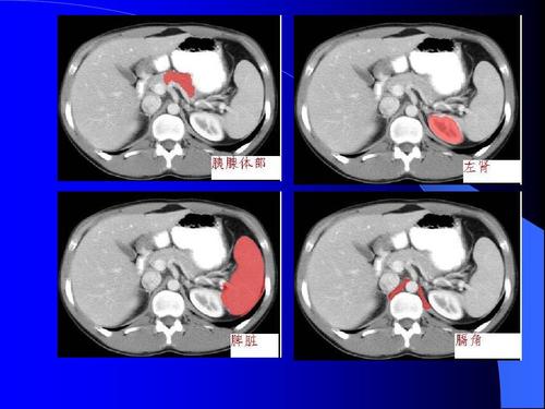
2.1将两种诊断结果与术中和术后病理结果进行对比,准确率为93.3%(56/60),超声检查准确率为78.3%(47/60)。差异有统计学意义(P2。腹部闭合性损伤诊断结果的2CT分析结合美国创伤外科学会器官损伤分类标准和[3号腹部闭合性损伤中脾、肝、肾损伤60例,其中脾损伤24例:ⅰ级8例,ⅱ级12例,ⅲ级4例。肝损伤19例:ⅰ级7例,ⅱ级3例,ⅲ级4例,ⅳ级5例。肾损伤7例:ⅰ级损伤3例,ⅱ级损伤2例,ⅲ级损伤2例。其余5例为空肠破裂,4例胃损伤,1例胰腺损伤。
3讨论
随着交通事故和其他意外伤害发生率的增加,临床腹部闭合性损伤的发生率也显著增加。近年来,研究发现,这种疾病已经成为[3]急诊患者死亡的主要原因之一。腹部闭合性损伤主要包括空腔器官损伤和实质性器官损伤。胃肠道和胆囊属于空腔损伤,腹膜炎是主要临床表现。
肝、脾、肾等。是实质器官损伤,主要是出血。早期诊断和及时治疗是挽救病人生命的关键。临床腹部闭合性损伤通常由超声和计算机断层扫描诊断。超声检查因其成本低、操作简单、对患者无创伤等优点,在临床上得到广泛应用。然而,近年来的相关研究结果表明,超声检查方法更易受体位、胃肠蠕动等因素的影响,因此临床诊断准确性与[4号相比并不理想。
从本研究结果来看,CT诊断的准确率为93.3%,明显高于超声诊断的准确率(78.3%) (p综上所述,腹部闭合性损伤的CT检查的临床准确率相对较高,可以在不受受体部位等因素干扰的情况下对患者的损伤进行初步分级,可以为临床治疗和诊断提供必要的参考校正,值得临床推广。(省略)
参考
[1]胡于正,金剑锋。CT在急诊闭合性腹部损伤中的诊断价值。浙江创伤外科,2015,23 (1): 172-173。
[2]张謇,郭心有。腹部闭合性损伤的CT诊断价值研究。现代医学影像,2015,32 (1): 31-34。
[3]张长顺,胡强恩,莫姐,等。平片CT扫描对闭合性腹部损伤的诊断价值。中国临床医学,2013,34 (1): 83-84。
张淑云太阳冯军。b超和CT在腹部闭合性损伤诊断中的价值。当代医学,2015,28 (4): 36-37。



