脑组织样本日常免疫组化检测中的问题探究,抗大鼠的兔单克隆抗体的来源是什么?也起源于兔子...
脑组织样本日常免疫组化检测中的问题探究
抗大鼠的兔单克隆抗体的来源是什么?兔子和...从兔子身上,也就是说,通过将来自大鼠的抗原蛋白击打到兔子身上而产生的抗体。你认为这种抗体的质量如何,它是说它可以被组织还是只能是蛋白质印迹?

脑组织内il-6免疫组化试验方法怎么写
Er阳性,表明它适用于内分泌治疗;C-erbb-2阴性,不需要靶向治疗;Ki-67呈弱阳性,表明癌细胞增殖不活跃,预后良好。 。
抗大鼠的兔单克隆抗体的来源是什么?也起源于兔子...
抗大鼠的兔单克隆抗体的来源是什么?兔子和...从兔子身上,也就是说,通过将来自大鼠的抗原蛋白击打到兔子身上而产生的抗体。你认为这种抗体的质量如何,它是说它可以被组织还是只能是蛋白质印迹?

脑组织内il-6免疫组化试验方法怎么写
脑组织样本日常免疫组化检测中的问题探究范文
关键词:脑组织;石蜡切片;免疫组织化学;
脑组织由神经元和神经胶质细胞组成。它的特点是富含水和脂类,韧性低,易自溶。在常规免疫组织化学检测过程中,脑组织样本容易出现碎裂、剥落、背景染色、染色不均等现象,严重影响实验操作和染色结果的解释。因此,优化脑组织的加工和免疫组织化学过程的相关细节,包括材料选择、固定、脱脂、脱水、切片过程细节的优化、免疫组织化学过程的优化等,具有重要意义。经过反复探索,注重操作细节,实验室能有效防止压片和免疫组织化学过程中脑组织脱落、背景染色和染色不均。经验总结如下。
1预防脑组织切片碎裂和破裂
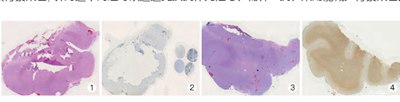
由于脑组织样品固定不良、脱水、脱脂不完全、组织切片直接烘烤没有充分自然风干、免疫组化玻璃片抗剥离效果差、抗原修复、清洗等原因。导致碎片和条带(图1和2)。为了避免上述现象,必须严格规范组织的预处理,规范组织切片过程和免疫组织化学操作过程中的细节。
1.1组织的预处理
(1)组织固定:在临床病理实验室的日常工作中,免疫组织化学染色结果不佳或失败的大部分原因是组织细胞没有及时固定。标准化固定主要包括:使用标准固定液、及时固定和严格固定时间。按标准收集脑组织标本,及时固定在4%中性缓冲甲醛溶液中24 h,沥干水分,进入脱脂程序。(2)组织脱脂:脑实质标本富含脂质,主要成分为卵磷脂,因此脱脂是必要的。用氯仿和丙酮(1: 1)脱脂24 h后,沥干水分,进入脱水过程。(3)组织脱水:脱水是脑组织制备中最关键的步骤之一[1],脱水不良容易导致后续制备失败。用75%乙醇脱水24小时,脱水,透明,浸蜡,用常规标本包埋。
1.2生产中的注意事项
压片步骤也是防止[2,3,4]剥落的最关键步骤之一。脑实质标本不含胶原纤维等结缔组织成分,组织背景主要由神经元和胶质细胞交织而成,容易破碎。例如,如果切片在切片后直接烘烤,组织和载玻片之间容易形成气泡,导致不稳定的贴片和贴片容易脱落。完全自然干燥后烘烤切片可以有效防止它们(图3和4)。组织切片的厚度为6μm,切片展开的水温为45℃,切片展开后,组织打蜡平整。粘贴时,幻灯片倾斜到水中并垂直拾取。速度应缓慢,这有助于排水和减少气泡粘附。将贴附的切片倾斜在切片板上,并将其置于室温、37℃恒温器或温度调节下。一定要等水排出去。将切片放入60℃的烤面包机中烘烤5分钟,石蜡熔化,有利于更好的粘附。然后将切片转移到60℃的恒温器中烘烤。
1.3免疫组织化学中的注意事项
(1)载玻片选择:脑组织结构含有较多脂质成分,富含水分,组织与载玻片之间的粘附性差,因此必须选择带正电荷且粘附性好的亲水性载玻片[5】。(2)脱蜡:脱蜡也可导致剥落,剥落主要是由组织的不规则预处理引起的。解决方案与组织对预处理的基本要求相同。(3)抗原修复:抗原修复也是碎裂和碎裂的原因之一。如果使用热感应修复,可以在切片架周围包裹一层纱布,以防止修复液加热和沸腾对组织的直接影响而导致切片和碎裂,或者可以使用热孵育方法。(4)冲洗:手动免疫组织化学过程的每个步骤都需要TBS冲洗,以避免直接冲洗组织。过度冲洗也会导致碎片和碎裂。
2防止背景染色
脑组织的免疫组织化学将产生非特异性背景染色,这主要是由内源性过氧化物酶、疏水性和离子相互作用、内源性生物素和过量抗体浓度引起的[6,7]。
2.1内源性过氧化物酶
它还能催化底物脱氢氧化形成DAB棕色,形成不溶于水和有机溶剂的棕色颗粒,引起非特异性染色。消除方法:用3%H2O2或3%H2O2甲醇溶液孵育10分钟,消除内源性过氧化物酶。
2.2疏水相互作用
疏水相互作用是氨基酸交联的结果,可以发生在相邻的蛋白质分子之间或分子内部。蛋白质的疏水性可以通过醛固定来产生。疏水相互作用引起的背景染色可通过向缓冲溶液[6]中加入封闭蛋白、1%小牛血清、酪蛋白、洗涤剂或加入高盐溶液和2.5%氯化钠溶液来降低背景。
2.3内源性生物素
生物素是辅酶,是脱羧酶、羧基转化酶等催化代谢链中产生羧基的中间载体。脑组织含有内源性生物素,可以用30%蛋清水溶液或商业生物素阻断剂封闭15分钟,或在滴下第一抗体前,用10%正常羊血清、非免疫动物血清和产生第二抗体(桥接抗体)的动物物种的非免疫血清封闭15分钟[8]。
2.4抗体质量
抗体的不纯质量和浓度也会导致背景染色。为了解决这个问题,我们可以替换抗体克隆号,稀释一级抗体,并用可以减少背景染色的抗体稀释剂稀释一级抗体[7]。

图1未用he染色处理的脑组织,中央破碎和去块图2未用免疫组织化学染色处理的脑组织,中央完全去块,但是照片是完整的图3用HE染色处理的脑组织完整的图4用免疫组织化学染色处理的脑组织(GFAP,恩维两步法,DAB显色),没有破碎和去块
3防止染色不均
脑组织切片免疫组化染色不均匀主要是由于早期脑组织样本处理不良、切片过薄、气泡产生、染色过程中轻度漂白、抗脱落载玻片选择不当等原因造成的。(1)脑组织样品的预处理:脑组织固定不良、脱水和脱脂会导致染色不均。解决方法和以前一样。(2)切片厚度:脑组织切片太薄(3~4μm),会导致免疫组织化学染色结果弱,影响结果解释。切片厚度要求达到6 μm。(3)气泡产生:安装薄片时不排水,局部形成气泡使组织膨胀。染色时,试剂渗透后不易清洗,导致显色太深。粘贴时,幻灯片倾斜到水中,垂直向上铲起。速度应缓慢,这有助于排水和减少气泡粘附,并使载玻片充分通气。(4)轻度漂白:脑组织切片用抗原修复后,出现轻度漂白,渗透后抗体不易清洗,导致染色不均匀。(5)抗滑:一些全主动免疫组织化学染色仪采用涡旋混合和动态驱动技术,达到抗原抗体结合的目的。选择亲水性抗载玻片非常重要,否则染色结果将是阴性和不均匀的。
为了获得脑组织的理想石蜡切片,可以通过免疫组织化学染色获得清晰的特异性蛋白表达。组织的初步处理必须优化,包括组织固定、脱脂、脱水、石蜡切片厚度、风干、烘烤等免疫组织化学过程中的每一个细节,必须把握要点,即更好地解决脑组织免疫组织化学染色中出现的问题,提高免疫组织化学染色质量。
参考
郭林芝,李敏。引用该论文[。山西医科大学学报,2013,44 (4) :311-312,328。
荣玮,董迎海,帅智峰,等。脑组织石蜡切片制作经验及问题分析[。解剖学杂志,2016,39 (6) :753-754。
朱英新,张树波,高笑增,等。高质量大鼠脑组织连续石蜡切片的制备方法[。第二军医大学学报,2016,37 (4) :527-528,冯3。
[4]张杰,熊宏。脑组织制备,切片和染色。《神经科学研究中的当前实验室方法》,[·斯普林格出版社,2014年:3-30页。
夏明·汗,潘晓婷。脑组织切片免疫组织化学技术中预防脱屑的制备方法[。细胞和分子免疫学杂志,2010,26 (2) :187。
[6]约翰·德,班克罗夫特,玛丽莲·甘布尔。赵,周晓鸽,刘永义。组织学技术的理论与实践[。北京:北京大学医学出版社,2010:391-392。
陈郁鹏,张生,王兴富,等。乳腺癌HER-2免疫组化染色及解释中的问题及对策[。中国临床与实验病理学杂志,2016,32 (4) :461-464。
[8]格雷琴·德尔坎伯,刘俊杰,珍娜·马。马脑组织中神经细胞和炎症细胞检测的免疫组织化学[。同行J,2016.4:e1601。



